
A Lisfranc injury occurs in the middle part of the foot where the long bones leading to the toes meet the bones of the midfoot. This area is supported by the Lisfranc ligament, which plays a key role in keeping the foot stable during movement and weight-bearing activities like walking or running.
These injuries can vary from mild ligament strains to serious fractures and dislocations, and they are sometimes missed during initial diagnosis.
What Is Affected?
The Lisfranc region includes:
- Midfoot bones (tarsals and metatarsals)
- The Lisfranc ligament that holds the joints together
- Surrounding joint structures that support foot stability
Damage to this area can disrupt normal foot alignment and make standing or walking difficult.
Common Causes
Lisfranc injuries often result from:
- Twisting the foot while it is planted on the ground
- Falls from heights
- Road traffic accidents
- Sports activities like football or jumping events
- Heavy objects landing on the foot
They may occur from both high-impact trauma and less obvious twisting injuries.
Types of Injury
Mild injury
- Ligaments are stretched or slightly torn
- Joint remains mostly stable
Moderate injury
- Partial tearing of ligaments
- Some displacement of the bones may occur
Severe injury
- Fractures combined with joint dislocation
- Complete loss of stability in the midfoot
Symptoms
Typical symptoms include:
- Pain in the middle of the foot, especially when walking
- Swelling and bruising
- Difficulty bearing weight
- Tenderness when pressing the area
- A sense that the foot is unstable
Bruising on the bottom of the foot is a strong indicator of a Lisfranc injury.
Diagnosis
Because symptoms can be subtle, imaging tests are often needed:
- X-rays, sometimes taken while standing
- CT scans to assess bone damage
- MRI scans to evaluate ligament injury
- Physical examination by a healthcare professional
Treatment
Treatment depends on how severe the injury is.
Non-surgical care
- Use of a cast or walking boot
- Avoiding weight on the foot for several weeks
- Gradual return to movement through rehabilitation
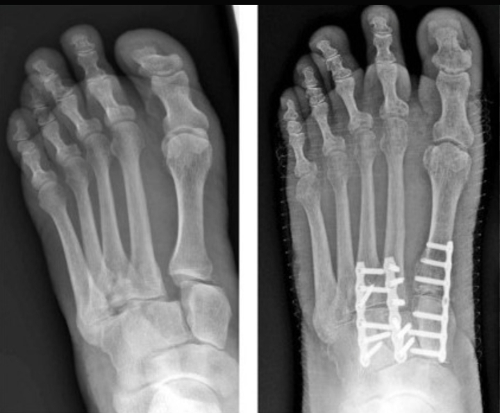
Surgical care
- Realignment of displaced bones
- Fixation using screws or plates
- Repair or reconstruction of damaged ligaments
Recovery Time
- Mild cases: about 6–8 weeks
- Surgical cases: 3–6 months or more
- Full recovery for athletes may take up to a year
Rehabilitation is important to restore strength and proper movement.
Possible Complications
If not treated properly, a Lisfranc injury can lead to:
- Long-term midfoot pain
- Arthritis in the affected joints
- Persistent instability of the foot
- Difficulty with walking or physical activity
Summary
A Lisfranc injury is a serious condition affecting the stability of the midfoot. It can range from mild ligament damage to severe fractures and dislocations. Early diagnosis and appropriate treatment are essential to ensure proper healing and to reduce the risk of long-term complications.
