
A fracture of the femur, or thigh bone, is a serious injury because it is the main weight-bearing bone in the body. Treatment usually requires surgery, and the two most common fixation options are intramedullary rods (nails) and plates with screws. Both are used to stabilize the bone and allow it to heal, but they differ in technique and application.
Intramedullary Rods (Nails)
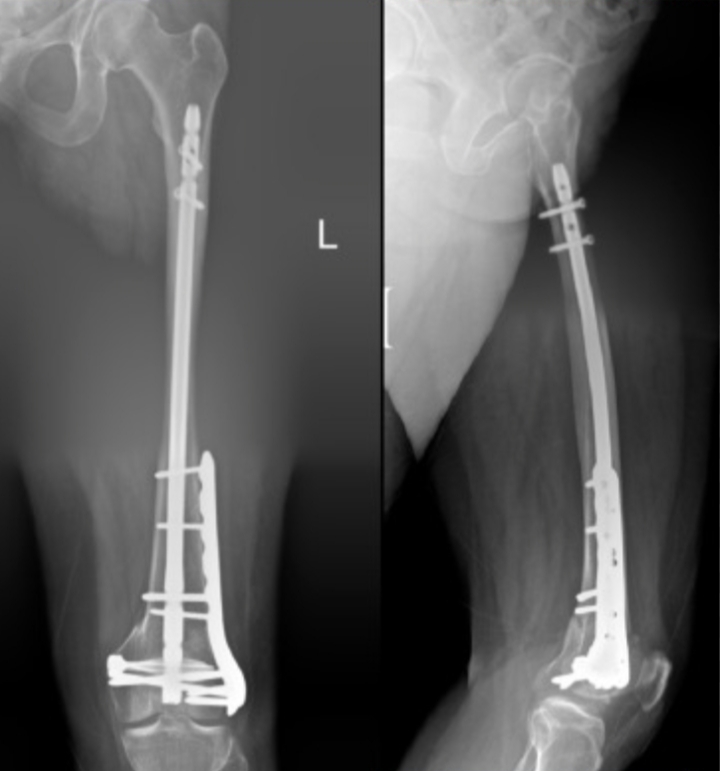
This method involves inserting a metal rod into the hollow center of the femur and securing it with screws at both ends.
Benefits:
- Strong internal support suitable for weight-bearing
- Smaller incisions with less damage to surrounding tissue
- Often allows earlier movement and partial weight-bearing
- Generally faster recovery in many patients
Limitations:
- Not ideal for certain fracture types, especially near joints
- May cause discomfort in the knee or hip area
- Requires specialized surgical expertise
Rods are commonly used for fractures in the middle section of the femur because they align well with the bone’s natural structure.
Plates and Screws
This technique involves fixing a metal plate along the outside of the femur using screws placed above and below the fracture.
Benefits:
- Useful for fractures near the hip or knee joints
- Allows precise alignment in complex or fragmented breaks
- Suitable when internal rod placement is not possible
Limitations:
- More invasive surgery with a larger incision
- Greater disruption to surrounding soft tissues
- Weight-bearing may be delayed during recovery
Plates are often chosen for fractures at the ends of the bone or when detailed reconstruction is required.
Key Differences
Rods are placed inside the bone, while plates are fixed externally. Rods generally allow earlier weight-bearing and are less invasive, whereas plates provide more precise control in complex or joint-related fractures.
Which Is Better?
There is no single best option. The choice depends on the location and type of fracture, the patient’s condition, and the surgeon’s judgment. Rods are often preferred for mid-shaft fractures, while plates are used for complex or joint-adjacent injuries.
Final Insight
Both rods and plates are effective solutions for femur fractures. Successful recovery depends less on the implant itself and more on selecting the appropriate method and following proper rehabilitation after surgery.
